Исправим прикус навсегда за 3.990₽/месяц
под контролем ведущих ортодонтов России
Ваше лечение на брекетах ведёт молодой врач, а каждое решение утверждают ортодонты ТОП-5 России.
Вы платите меньше — без риска для результата и качества лечения.
Сразу после заявки:
🎁 Бесплатная диагностика
🎁 Профессиональная Гигиена — в подарок
🎁 Чек-лист лечения
Бесплатно · без обязательств · точный план лечения
Вот за счёт чего лечение стоит меньше,
но остаётся безопасным

каждый пациент ведётся врачом и курируется наставником
каждый клинический случай проходит проверку
стандартизированная система диагностики и лечения
материалы и оборудование мировых брендов

прозрачная рассрочка без переплат
Зафиксируйте цену на лечение
до повышения стоимости
Идеальная улыбка за 3.800₽/месяц
Специальная цена действует ещё
15:00
🔒 Только 10 мест в месяц под наставнический контроль
📅 В новом месяце стоимость может измениться
📌 Места распределяются строго по порядку заявок
Бесплатно · без обязательств · вы просто фиксируете условия
Почему нам можно доверить своё лечение
Всё, что снижает риски и делает результат предсказуемым
Доступная стоимость
Мы экономим на процессах и администрировании, а не на качестве лечения и материалах
Экспертный контроль
Каждый клинический случай находится под постоянным контролем наставника-ортодонта
Индивидуальный план лечения
План лечения составляется персонально под ваш прикус, анатомию и задачи
Поддержка на всех этапах
Мы сопровождаем вас от первой консультации до снятия брекетов и завершения лечения
Можно начать сразу
Без ожиданий, очередей и скрытых платежей — вы начинаете лечение тогда, когда готовы



Международный уровень Ортодонтии
Бесплатная диагностика, консультация и составление плана лечение *
Комплексная гигиена полости рта перед началом лечения *
Рассрочка 0% на все время лечения
Фиксируем цену в договоре
Почему лечение под полным контролем
— это безопасно
Мы выстроили систему, в которой ошибки исключены
Единая клиническая система «Полный Порядок»
Все врачи работают по единым стандартам и утверждённым протоколам лечения
Экспертное согласование каждого случая
Ключевые решения утверждаются ведущим ортодонтом, а не принимаются в одиночку
Цифровая карта пациента
Диагностика, план лечения и все этапы фиксируются и сохраняются
Гарантия на результат
При соблюдении рекомендаций мы гарантируем предсказуемый результат лечения
Прямая связь с наставником
Вы можете лично задать вопрос ведущему ортодонту при любых сомнениях
Тихонов Андрей
Викторович
к.м.н., ТОП-5 ортодонтов России,
Спикер международного уровня
Научный подход в основе каждого решения.
«Мы не следуем моде — мы опираемся на доказательную медицину»
Все методики лечения разработаны и проверены в ходе многолетних клинических исследований, подтверждены публикациями и международными протоколами.
Наши врачи регулярно участвуют в международных научных конференциях, ведут собственные исследования и внедряют только те технологии, эффективность которых подтверждена.
Здесь нет места догадкам: каждый план лечения — это индивидуальный проект, основанный на научных данных, точных расчетах и биомеханике.
Зафиксируйте цену на лечение
до повышения стоимости
Идеальная улыбка за 3.800₽/месяц
Специальная цена действует ещё
15:00
🔒 Только 10 мест в месяц под наставнический контроль
📅 В новом месяце стоимость может измениться
📌 Места распределяются строго по порядку заявок
Бесплатно · без обязательств · вы просто фиксируете условия
Бонусы при записи через сайт
Вы получаете их сразу после оставления заявки
Бесплатная первичная диагностика
Вместо 2 500 ₽
Гигиена полости рта перед установкой
В подарок
Персональный чек-лист лечения
Для брекетов и элайнеров
Бесплатно · без обязательств · точный план лечения
Наши врачи
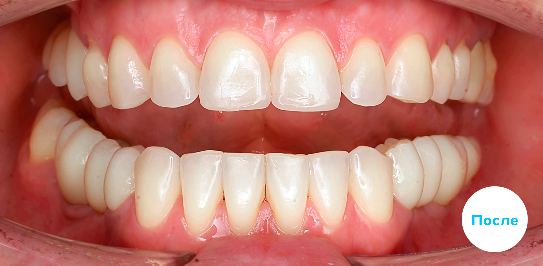
Результаты лечения


Брекет-система DQ2 на верхнюю и нижнюю челюсть
Исправление скученности зубов и глубокого прикуса.


Исправление скученности зубов брекетами без удаления зубов
В приведенном клиническом случае ортодонты использовали брекеты Damon Q/Q.


Исправление скученности зубов брекетами без удаления зуба
В приведенном клиническом случае ортодонты использовали металлические самолигирующие брекеты Damon Q/Q.
ОТЗЫВЫ О НАС
Зафиксируйте цену на лечение
до повышения стоимости
Идеальная улыбка за 3.800₽/месяц
Специальная цена действует ещё
15:00
🔒 Только 10 мест в месяц под наставнический контроль
📅 В новом месяце стоимость может измениться
📌 Места распределяются строго по порядку заявок
Бесплатно · без обязательств · вы просто фиксируете условия





